Full-arch rehabilitation Immediate load · 1 day

All-on-X
Showcase.

รากเทียมทั้งขากรรไกรด้วยเทคนิค All-on-4 / All-on-6 — ใส่ฟันชั่วคราวใช้งานได้ภายในวันเดียว เปลี่ยนชีวิตคนไข้ที่สูญเสียฟันไปมาก ให้กลับมาเคี้ยวอาหารและยิ้มได้มั่นใจอีกครั้ง

1day
Treatment time
4–6screws
Implants per arch
98%
Success rate
20yr+
Expected lifespan

ฟันติดแน่น
ทั้งปาก
ด้วยรากเทียม
เพียง 4–6 ตัว

All-on-X คือเทคนิครากเทียมแบบเต็มปาก (full-arch) ที่ใช้รากเทียมเพียง 4–6 ตัวต่อขากรรไกร เพื่อยึดสะพานฟัน (prosthesis) ที่ติดแน่นถาวร ผู้ป่วยไม่ต้องใส่-ถอดแบบฟันปลอม กัด เคี้ยว และยิ้มได้เหมือนฟันจริง

เทคนิคนี้ใช้หลักการวางรากเทียมในแนวเอียง (tilted implants) ที่ตำแหน่งกระดูกหนา เพื่อหลีกเลี่ยงการปลูกกระดูก และเพิ่มแรงยึดเกาะ — ทำให้สามารถใส่ฟันชั่วคราว ใช้งานได้ในวันเดียว (immediate load) โดยไม่ต้องรอให้แผลหาย 3–6 เดือนแบบเดิม

ที่คลินิกเรา ใช้ระบบ digital workflow เต็มรูปแบบ — CBCT, intraoral scanner, guided surgery และ in-house milling — เพื่อความแม่นยำในทุกขั้นตอน ตั้งแต่การวางแผน การผ่าตัด จนถึงการติดฟันถาวร

4
All-on-4
รากเทียม 4 ตัวต่อขากรรไกร — ประหยัดและมีประสิทธิภาพ เหมาะกับคนไข้ที่มีกระดูกเพียงพอในตำแหน่งมาตรฐาน
6
All-on-6
รากเทียม 6 ตัวต่อขากรรไกร — กระจายแรงบดเคี้ยวดีกว่า เหมาะกับผู้ที่กัดแรงหรือต้องการความแข็งแรงมากขึ้น
X
All-on-X (custom)
วางแผนเฉพาะบุคคล — จำนวนและตำแหน่งรากเทียมปรับตามสภาพกระดูก เพื่อผลลัพธ์ที่ดีที่สุดในแต่ละเคส
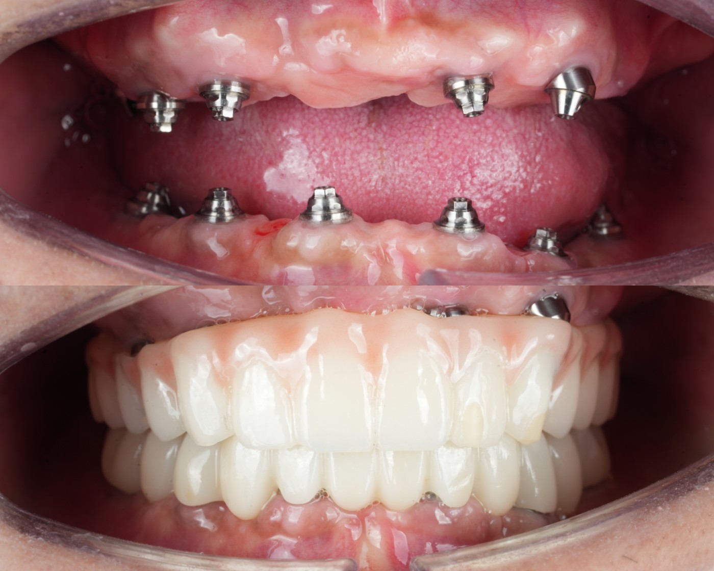
Case 01 · All-on-4 Upper & Lower

คุณลุงกลับมา
เคี้ยวอาหารได้
อีกครั้ง

Immediate Load All-on-4 · 8 implants Dual arch
คุณลุง — ก่อนและหลังการรักษา All-on-4 ฟันบนล่าง
← Before After →
คุณลุงมาด้วยอาการเคี้ยวอาหารไม่ได้ จากการสูญเสียฟันไปทีละนิดตลอดหลายปี จนเหลือฟันธรรมชาติเพียงไม่กี่ซี่ที่อยู่ในสภาพผุและโยก กินอาหารแข็งไม่ได้ และไม่กล้ายิ้มต่อหน้าคนอื่น

หลังการวินิจฉัยด้วย CBCT และ intraoral scan เราวางแผนใช้เทคนิค All-on-4 ทั้งขากรรไกรบนและล่าง พร้อม immediate load — ถอนฟันที่เหลือทั้งหมด วางรากเทียม 4 ตัวต่อขากรรไกร และใส่ฟันชั่วคราวติดแน่นในวันเดียว

3-6 เดือนต่อมา เมื่อกระดูก osseointegration เสร็จสมบูรณ์ เราทำสะพานฟันถาวรแบบ hybrid prosthesis ที่ออกแบบให้เลียนแบบฟันและเหงือกธรรมชาติ คุณลุงกลับมาเคี้ยวอาหารแข็งได้ ยิ้มเต็มที่ และคุณภาพชีวิตเปลี่ยนไปทั้งหมด

Intraoral · Before → After ภาพในช่องปาก — ก่อนและหลังการใส่ All-on-4
Technique
All-on-4 Dual arch · Immediate load
Implants
8 screws 4 บน · 4 ล่าง
Time to function
1 day Same-day temporary
Final prosthesis
Hybrid Ti bar + acrylic · at 4–6 mo.
"จากที่เคยกินแต่โจ๊ก วันนี้ลุงกัดแอปเปิ้ลได้แล้ว ยิ้มได้เต็มที่ ลูกหลานบอกลุงดูอายุน้อยลงเป็นสิบปี"
คุณลุง · ผู้ป่วย Case 01
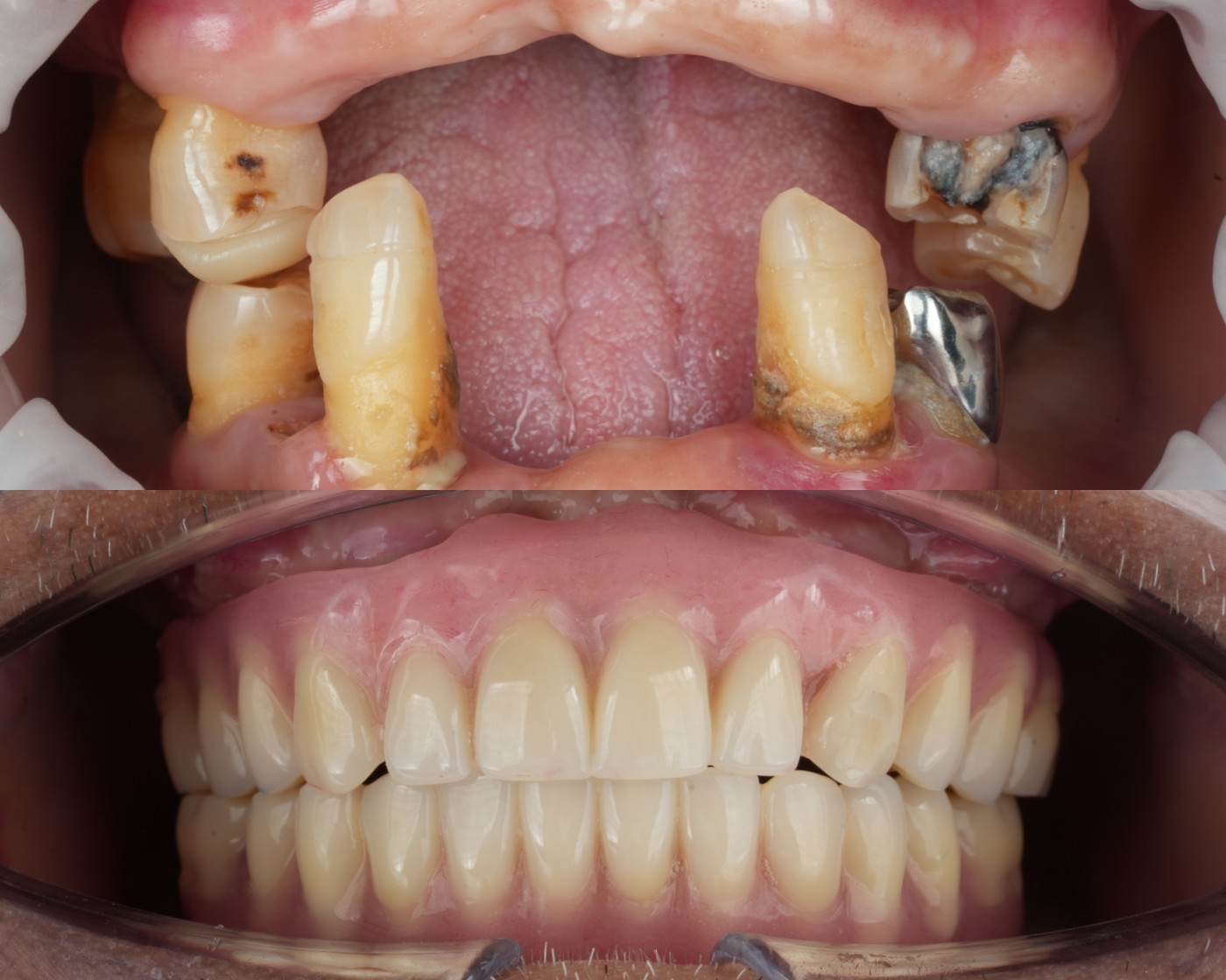
Case 02 · All-on-6 Upgrade from Denture

จากฟันปลอมหลวม
สู่ฟันติดแน่น
ในงบที่คุ้มค่า

Budget-friendly All-on-6 · 12 implants Acrylic prosthesis
คุณลุง Case 02 — ก่อนและหลัง All-on-6
← Before (ถอดฟันปลอม) After →
คุณลุงใส่ฟันปลอมแบบถอดได้ มานานหลายปี มีปัญหาหลวม หลุด และเคี้ยวอาหารได้ไม่เต็มประสิทธิภาพ จึงเข้ามาปรึกษาทางเลือกแบบติดแน่นถาวร

หลังประเมินสภาพกระดูกและความต้องการ เราวางแผน All-on-6 ทั้งบนและล่าง เพื่อให้แรงบดเคี้ยวกระจายดียิ่งขึ้น และคุณลุงเลือกใช้ วัสดุฟันแบบ acrylic prosthesis ที่ประหยัดงบประมาณแต่ยังคงสวยและใช้งานได้เต็มที่

หลังติดรากเทียม 6 ตัวต่อขากรรไกร และใส่สะพานฟันถาวรเรียบร้อย คุณลุงกลับมาเคี้ยวอาหารได้เป็นปกติ ไม่ต้องกังวลเรื่องฟันปลอมหลวมอีก และยิ้มได้มั่นใจเต็มที่ทุกวัน

Intraoral · Abutments → Final prosthesis ภาพในช่องปาก — หลักยึดรากเทียมและสะพานฟันถาวร
Technique
All-on-6 Dual arch · Fixed prosthesis
Implants
12 screws 6 บน · 6 ล่าง
Material
Acrylic Budget-friendly · สวยทน
Replaced
Old denture ฟันปลอมหลวม → ฟันติดแน่น
"ใส่ฟันปลอมมาเป็นสิบปี ต้องคอยถอดล้าง หลุดบ่อย พอเปลี่ยนมาเป็นแบบติดแน่น ชีวิตเปลี่ยนไปเลย กินก๋วยเตี๋ยวได้เต็มคำ"
คุณลุง · ผู้ป่วย Case 02
Case 03 · All-on-6 with Zirconia

กินได้ ย่อยดี
สุขภาพกลับมา
พร้อมรอยยิ้ม

Premium Zirconia All-on-6 · 12 implants Natural aesthetics
คุณลุง Case 03 — ก่อนและหลัง All-on-6 Zirconia
← Before After →
คุณลุงใส่ฟันปลอมเก่ามานาน แต่เคี้ยวอาหารไม่ได้ อาหารไม่ย่อย ส่งผลให้สุขภาพโดยรวมแย่ลง เป็นโจทย์ที่ต้องแก้ที่ต้นตอ

การสูญเสียประสิทธิภาพการบดเคี้ยวในผู้สูงอายุ เป็นปัญหาสุขภาพที่ถูกมองข้าม — เคี้ยวไม่ได้ดี → อาหารย่อยไม่หมด → ขาดสารอาหาร → สุขภาพทรุดโทรม เราวางแผนแก้ไขด้วย All-on-6 ที่ให้แรงบดเคี้ยวใกล้เคียงฟันธรรมชาติ

คุณลุงเลือกใช้ Zirconia prosthesis ที่ทั้งสวยเป็นธรรมชาติ แข็งแรงทนทาน และให้ประสิทธิภาพการกัดเต็มที่ ตอนนี้คุณลุงกินอาหารได้หลากหลาย ย่อยดี น้ำหนักกลับมา และยิ้มได้อย่างมั่นใจอีกครั้ง

Intraoral · Multi-unit abutments → Zirconia bridge ภาพในช่องปาก — หลักยึดรากเทียมและสะพาน Zirconia
Technique
All-on-6 Dual arch · Fixed bridge
Implants
12 screws 6 บน · 6 ล่าง
Material
Zirconia Natural · ทนทานสูงสุด
Impact
Quality of life กลับมาย่อยอาหารได้ดี
"กินอะไรก็ไม่ได้ ย่อยก็ไม่ดี สุขภาพแย่ลงทุกวัน พอเปลี่ยนมาใส่ฟันแบบใหม่ กินอะไรก็ได้ สุขภาพดีขึ้นมาก"
คุณลุง · ผู้ป่วย Case 03
04
Case pending
เคสถัดไปจะเผยแพร่เร็วๆ นี้

พร้อมเปลี่ยนชีวิต
ด้วยรอยยิ้มใหม่?

ทุกเคส All-on-X ที่คลินิกเราวางแผนด้วยระบบ digital เพื่อความแม่นยำและผลลัพธ์ที่คาดการณ์ได้ — ปรึกษาฟรีกับทันตแพทย์เฉพาะทางของเรา